CT全盛の昨今、胸部レントゲン写真の意義は少なく見積もられがちではありますが…。
例えば診療所であったりして、CTはすぐに撮れない、という環境もあるわけです。
また、CTにも弱点があります。
例えば肺の大きさ。
volume
lossや反対に過膨張などの所見は、圧倒的に胸部正面写真がわかりやすいですね。
というわけで、
胸部レントゲン写真で、ここまでわかるか!というところを何回かに分けて、見て参りましょう。
胸部レントゲンの見方、系統的な見方はポリクリやアドバンスでかなり繰り返していますので改めては書きませんが、大事なポイントをおさらいしておきましょう。
@骨軟部影の所見を見逃さない
以前にあったような所見にも注意します。本当に多くの情報が骨軟部影に隠されています。
Aシルエット・サインを使う
陰影があったときに、果たしてその陰影はどこにあるのか。
上、中、下肺野のどこにあるかとともに、シルエット・サインをうまく使うことでどのセグメント(
1〜10に分かれている、例のやつ)を絞り込むことができます。
B正面像で見えるリンパ節
傍気管線、A-P window、気管分岐部は必ずチェックしましょう。
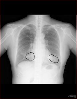
C縦隔や横隔膜の動きを見る
これらの動きから、肺容量の増減がわかります。
しばらく、これらのポイントに着目して症例を見ていきましょう。
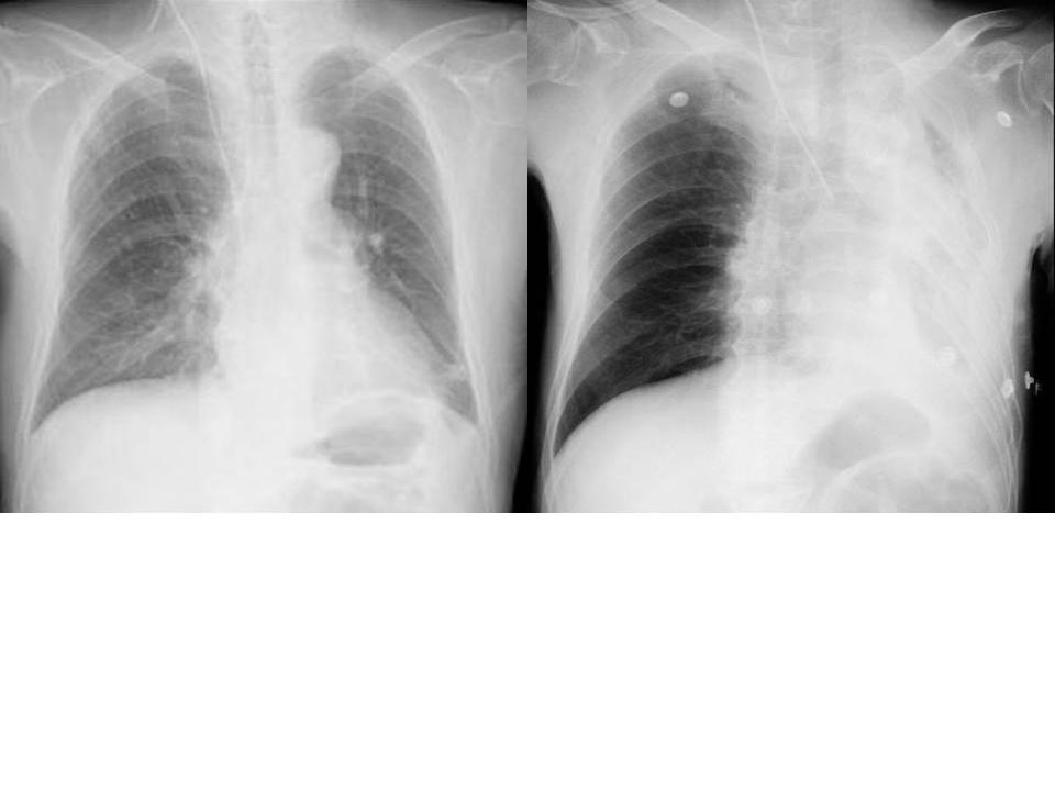
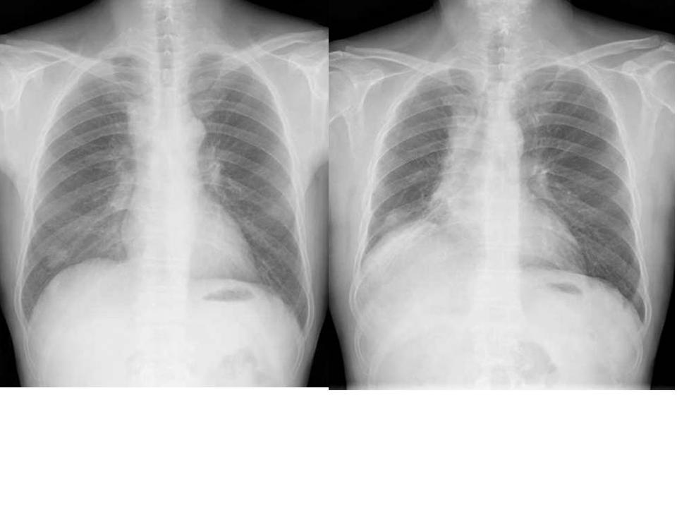
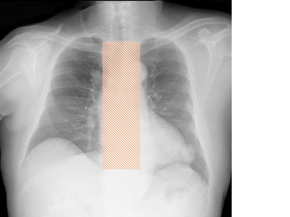
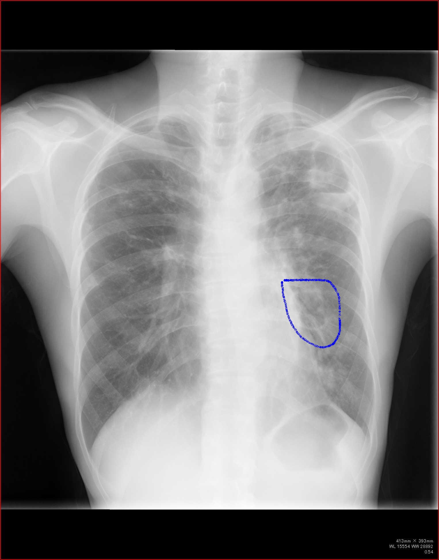
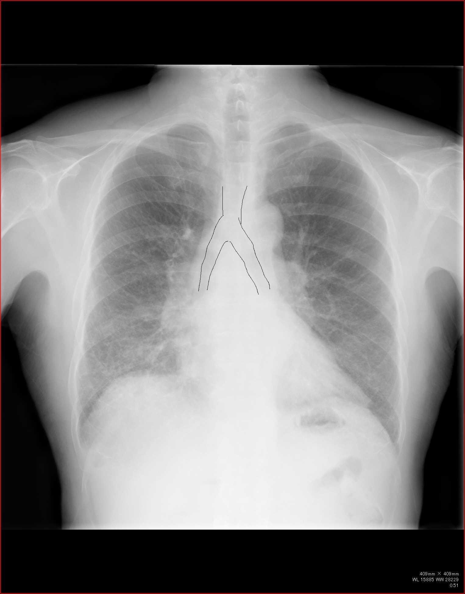
縦隔の所見
縦隔を見るときに、ボーッと見ていては所見を見逃します。
各種の線を追いかけていきましょう。
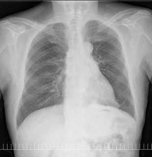
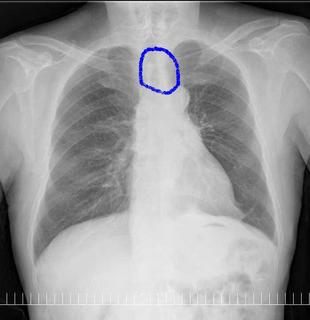
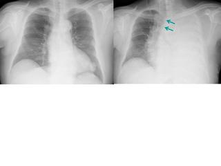
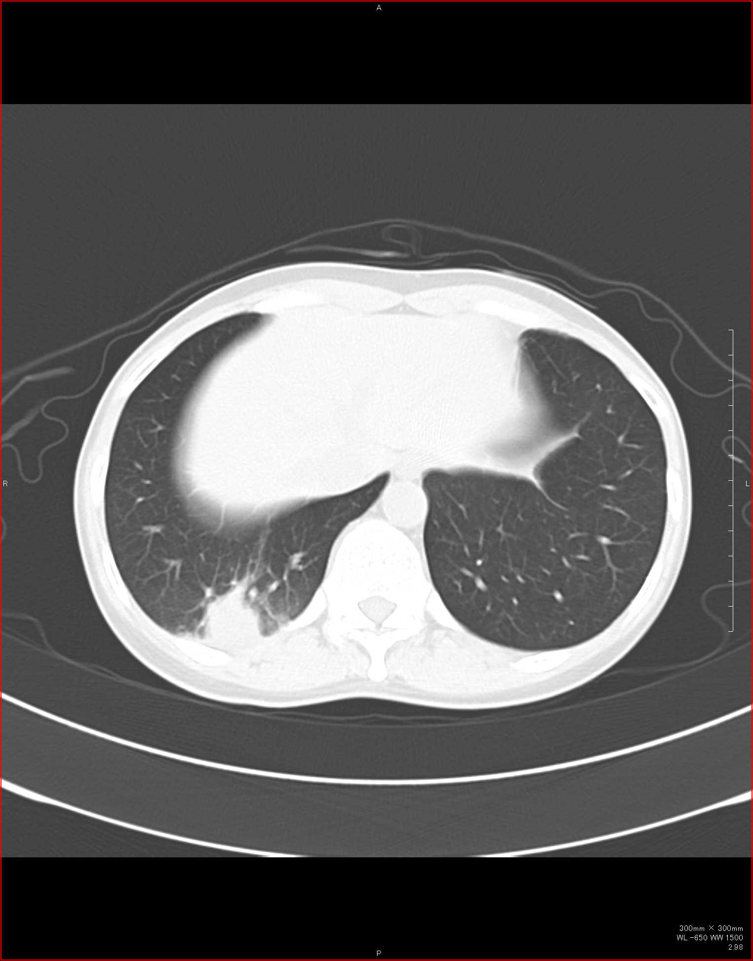
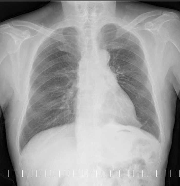
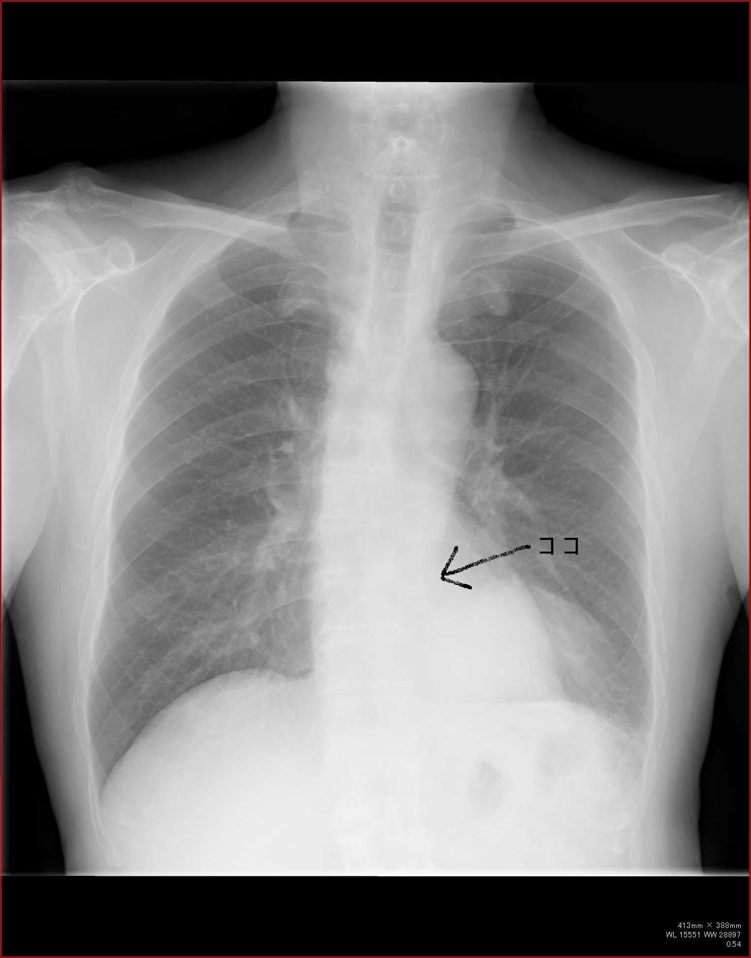
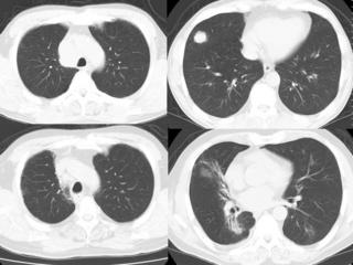
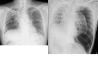
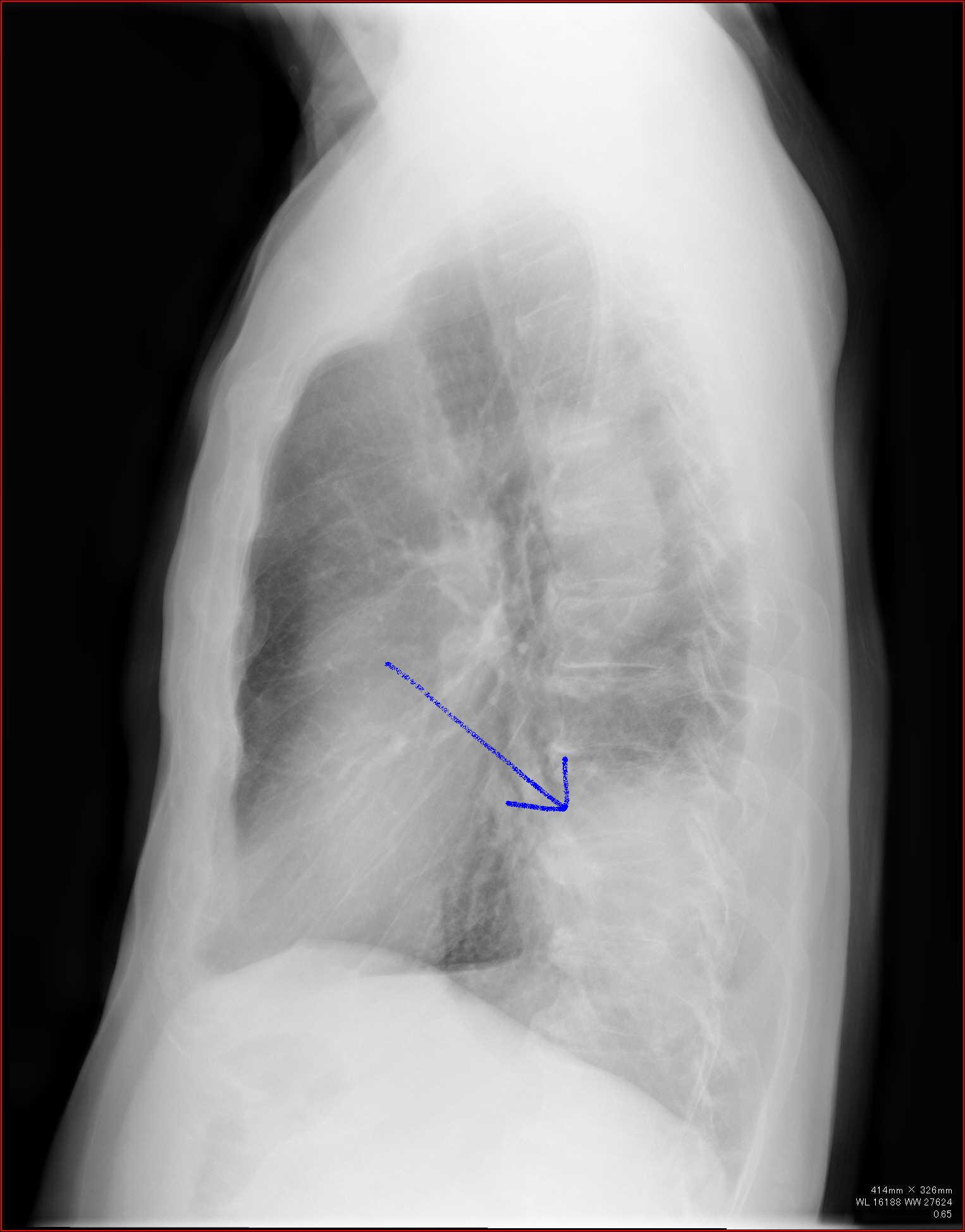
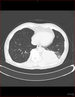
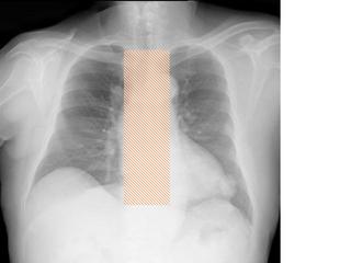
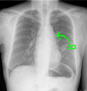
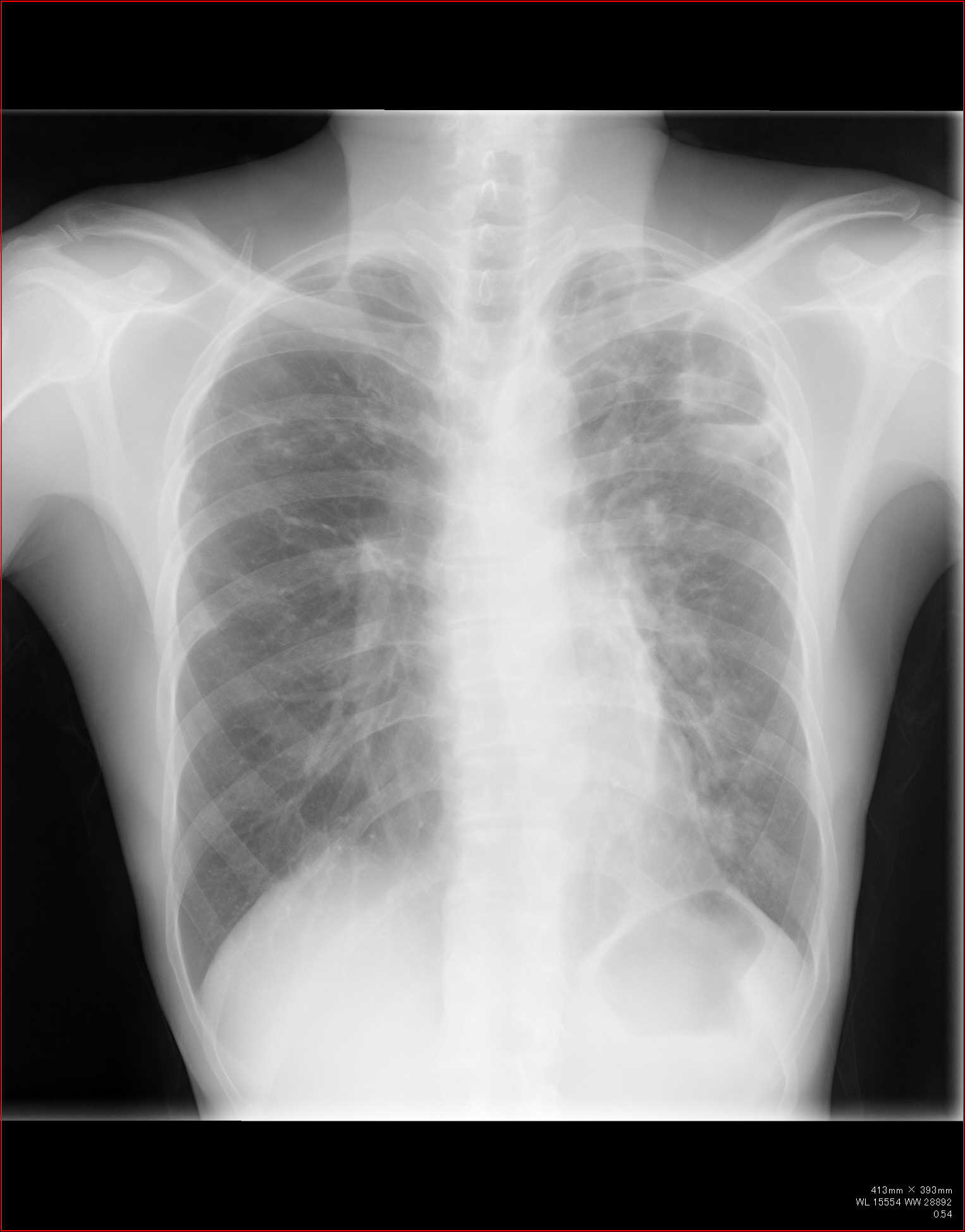
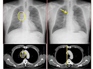
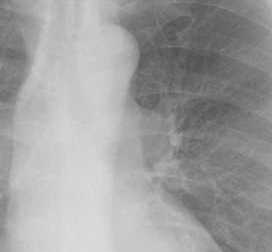
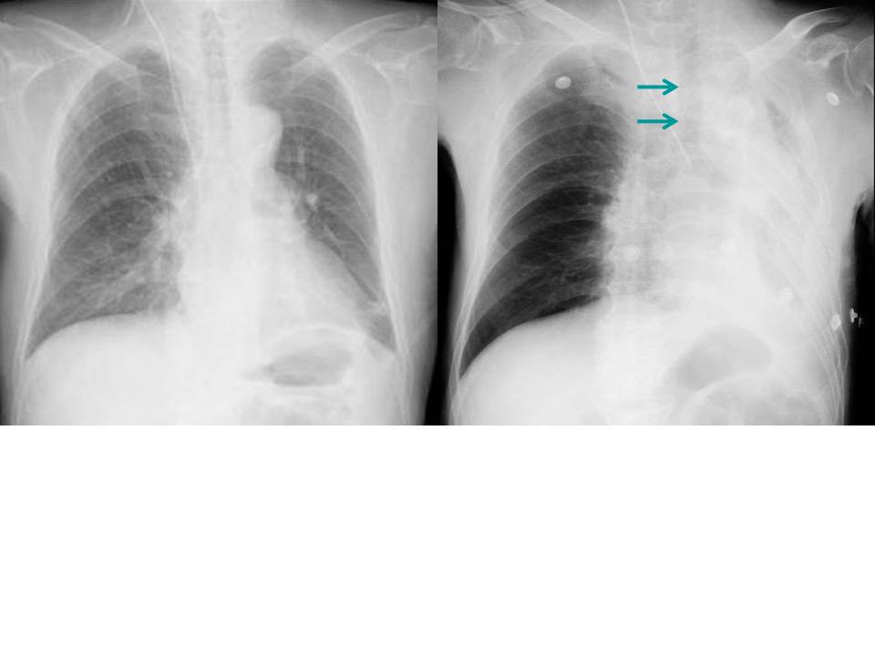
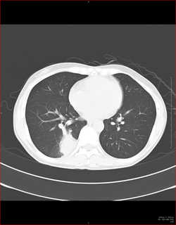
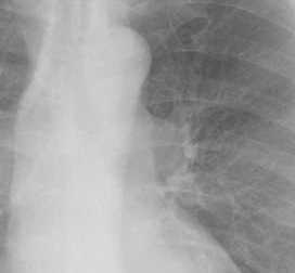
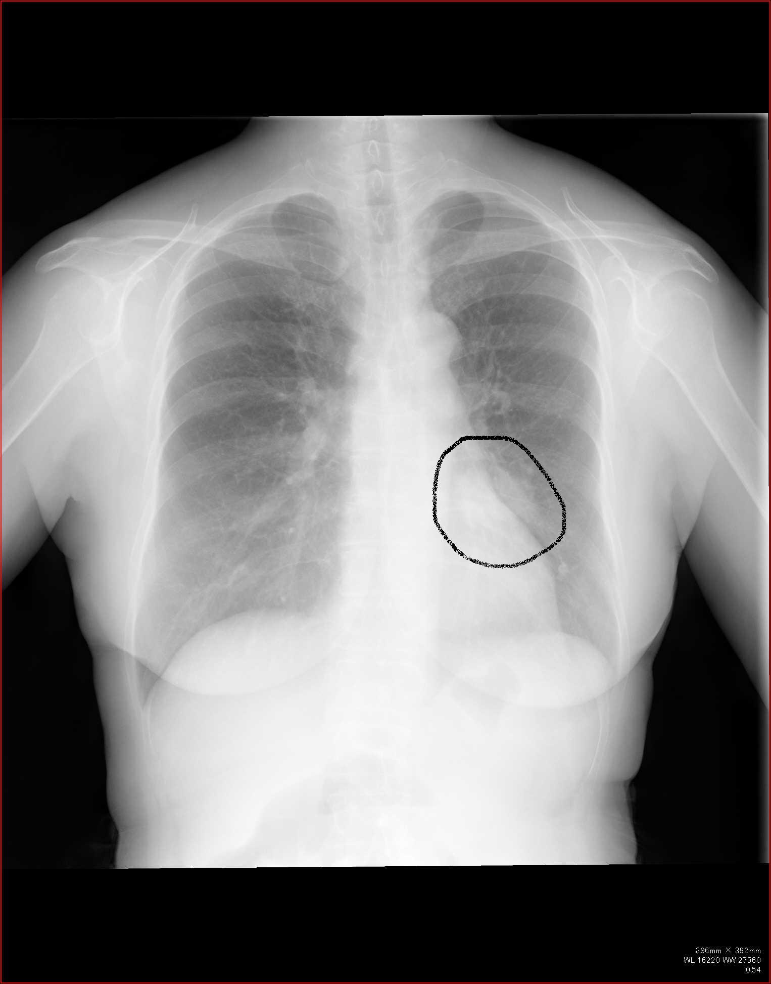
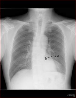
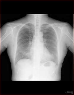
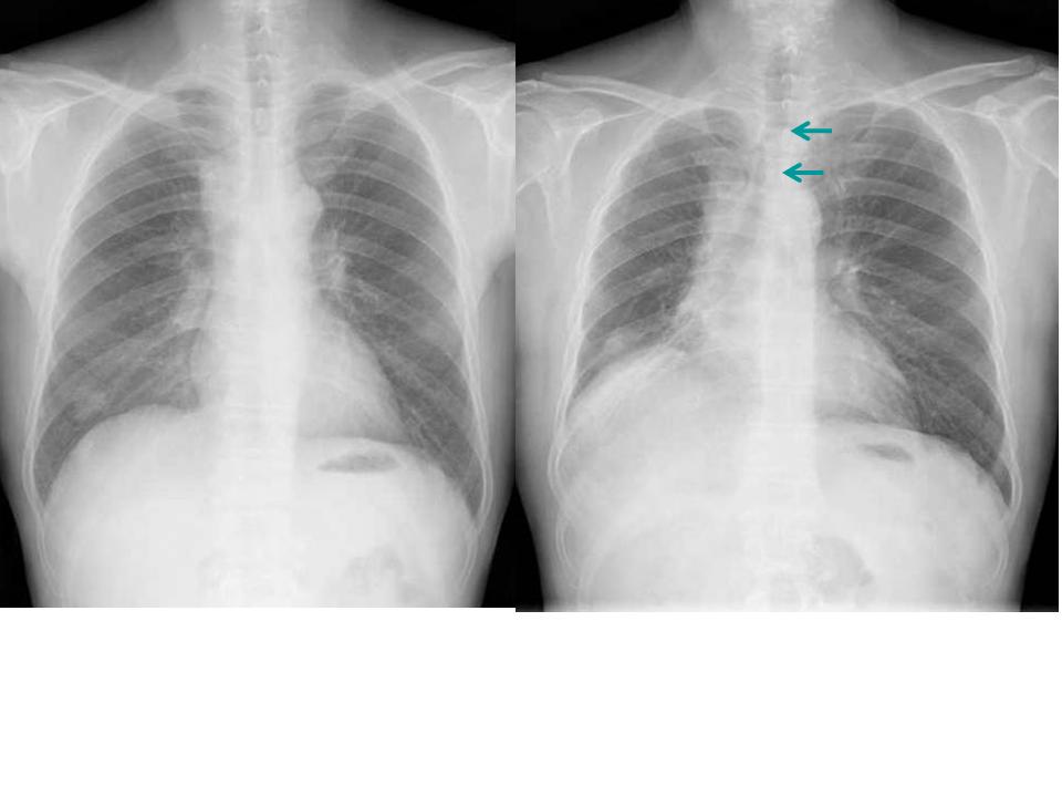
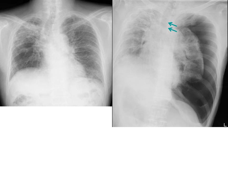
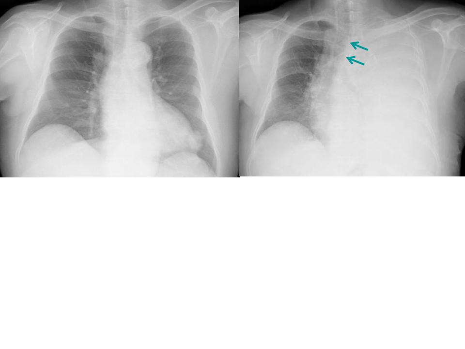
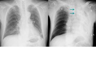
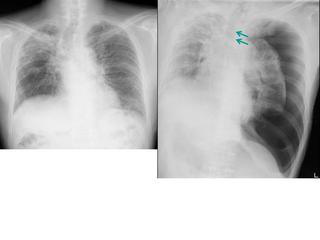
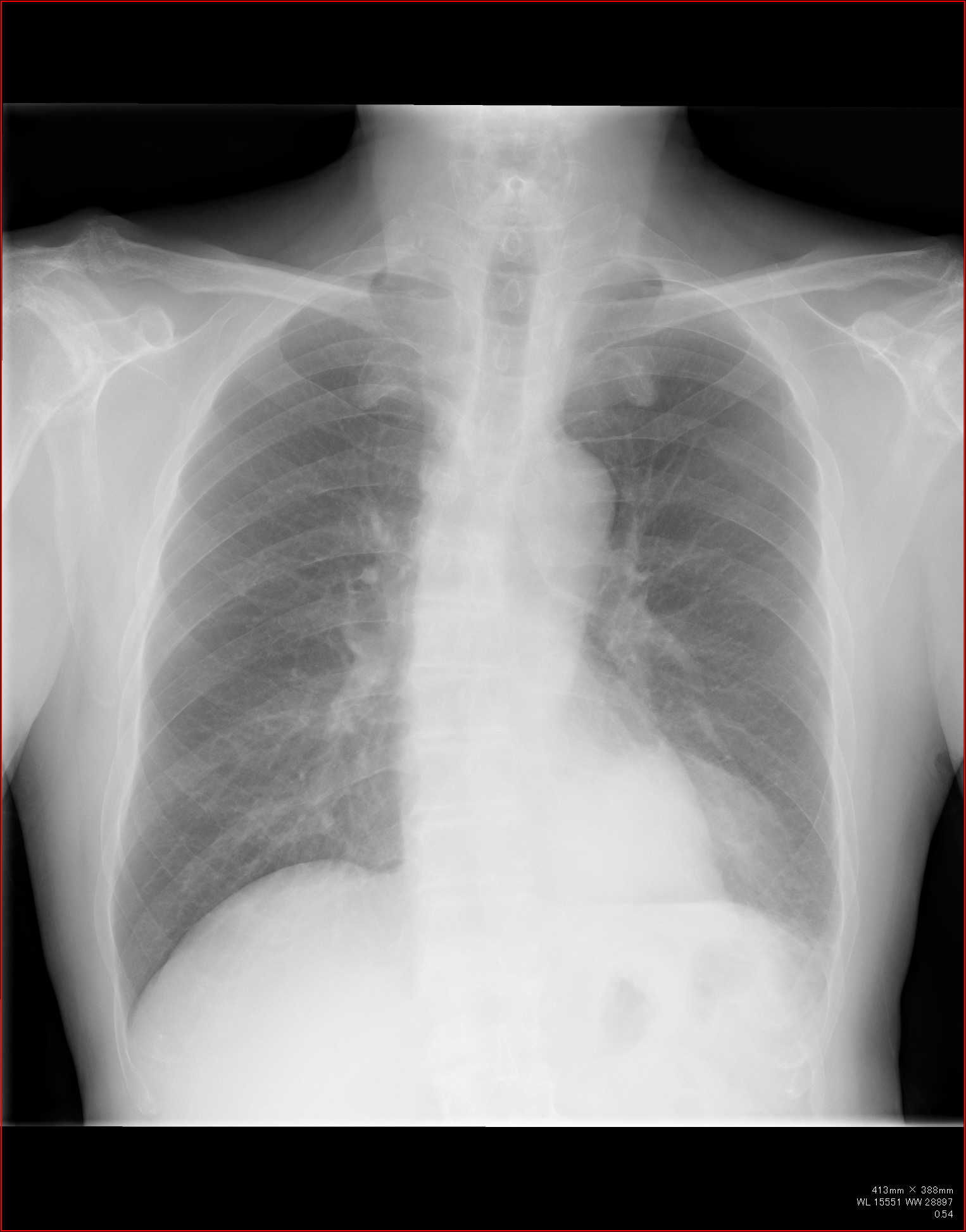
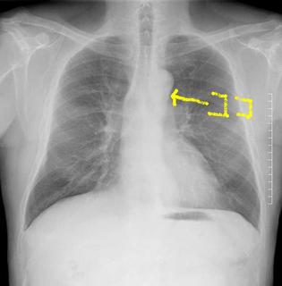
こちらを見て下さい。

わかりにくいかもしれませんが、このあたり。

気管が追いにくい、無くなっているようにも見えます。
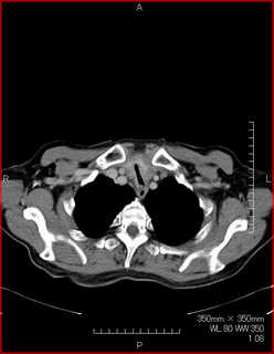
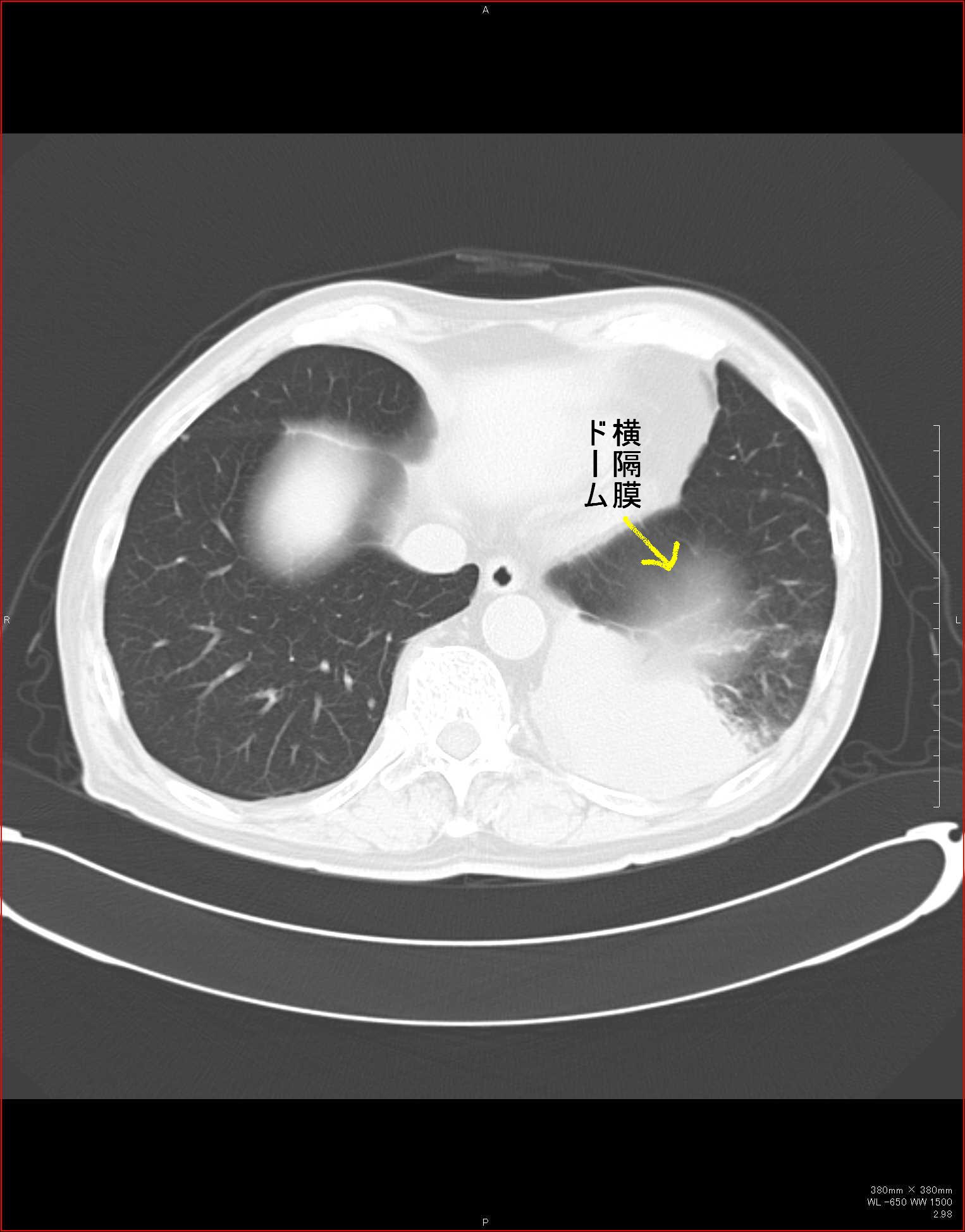
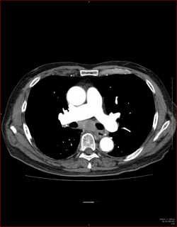
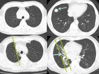
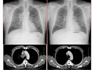
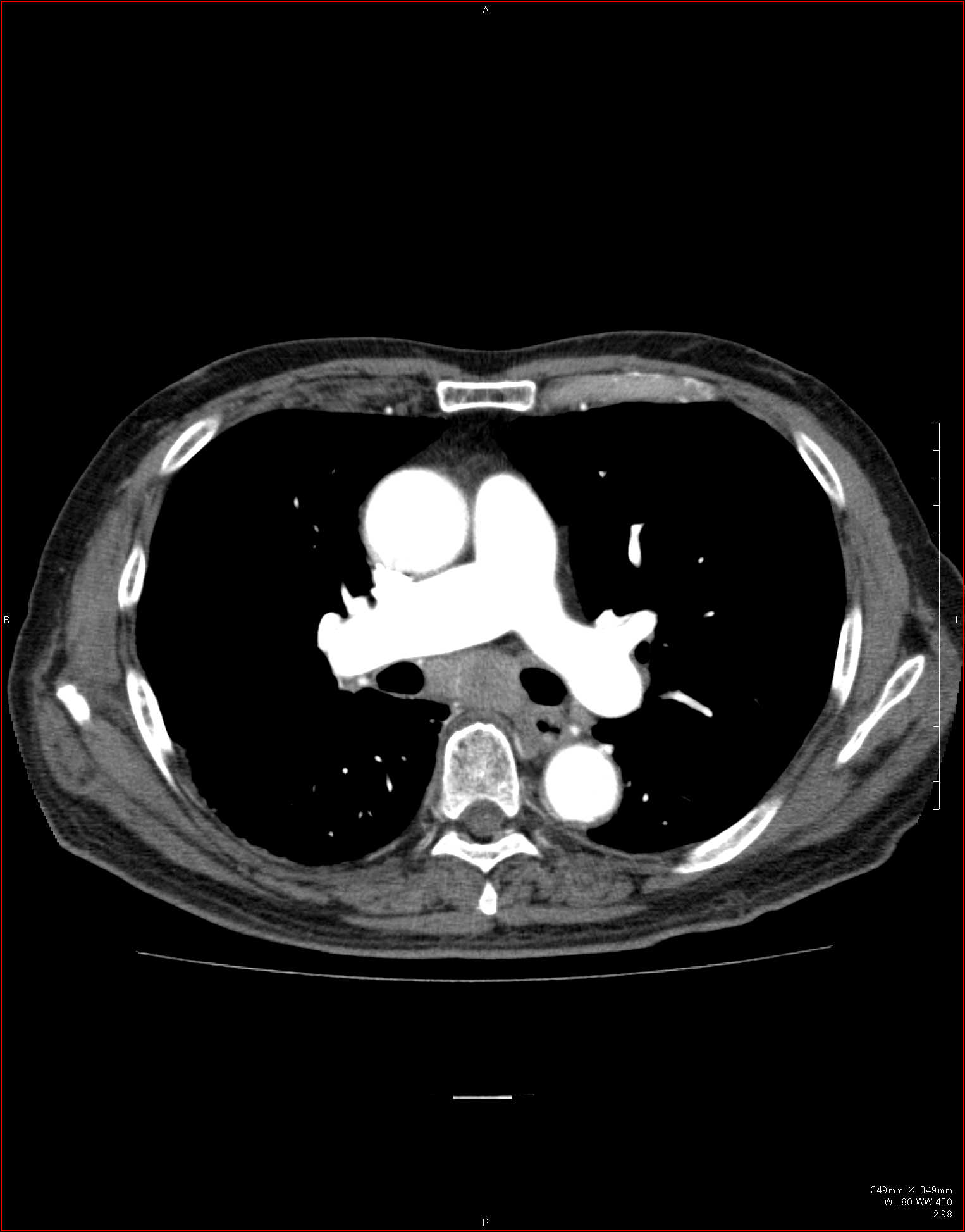
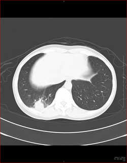
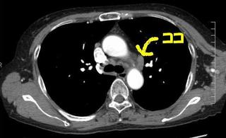
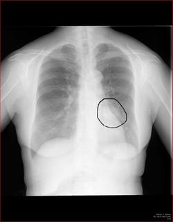
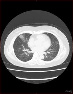
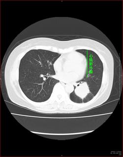
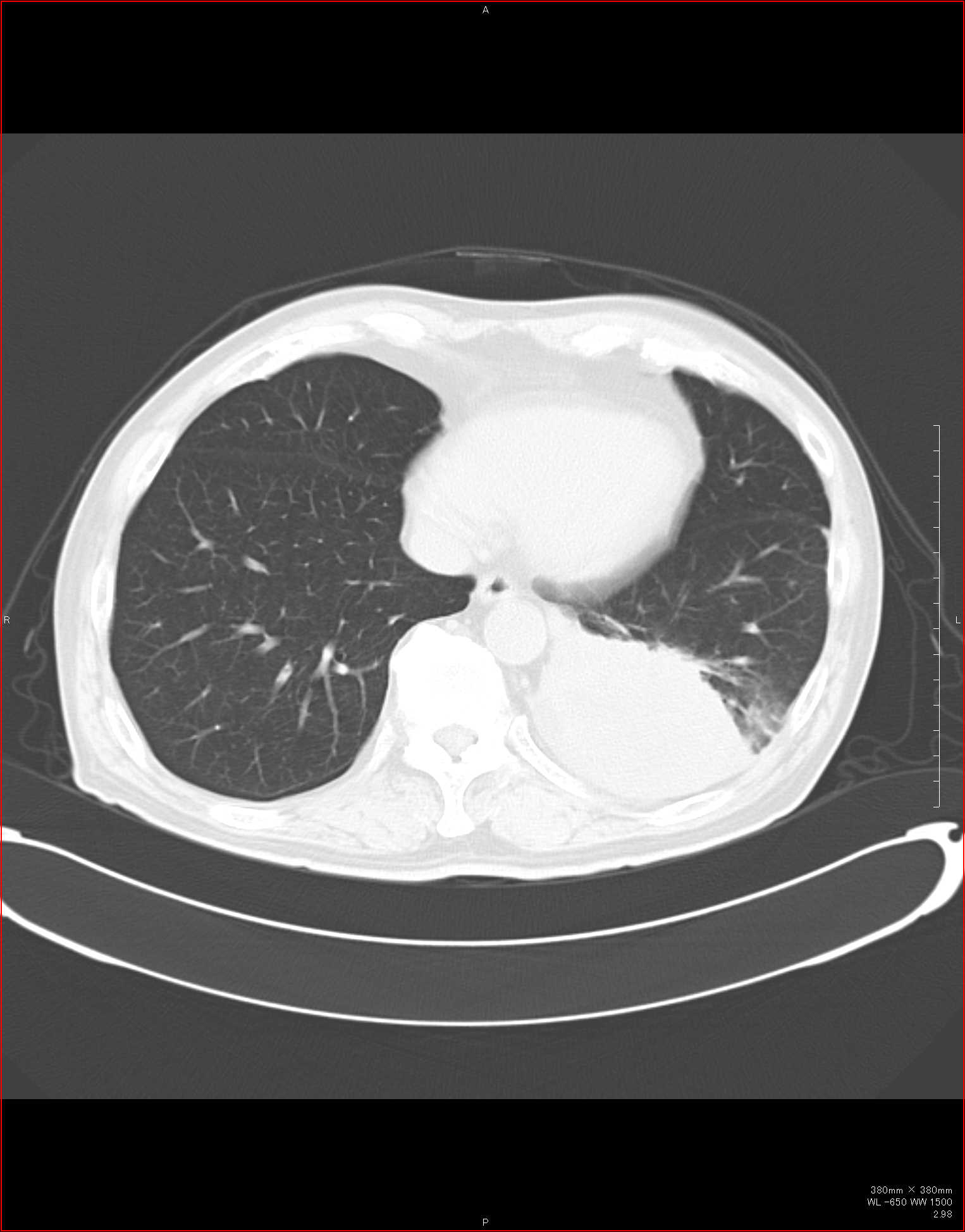
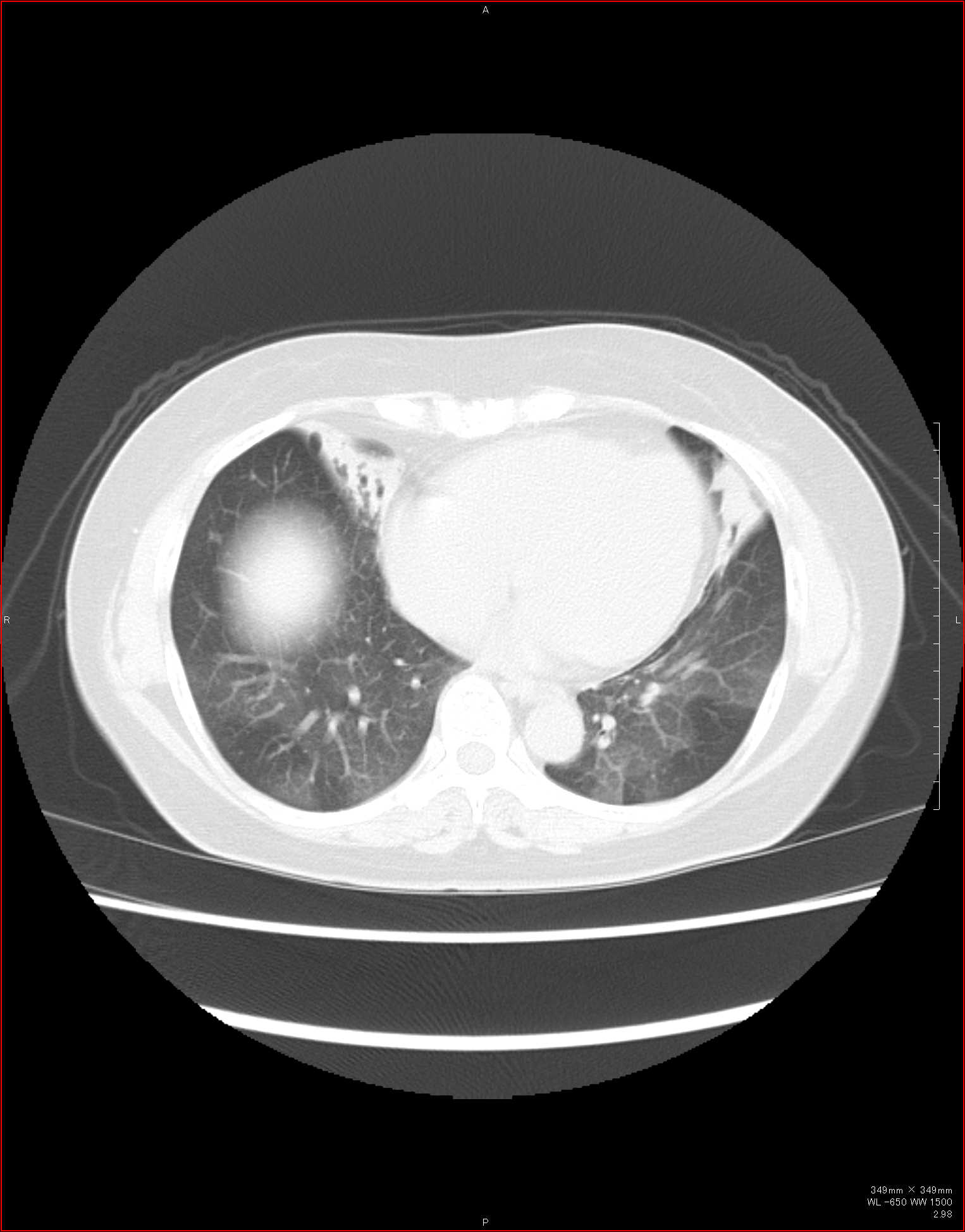
CTで見ると…

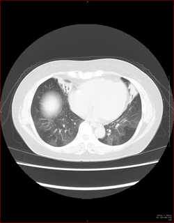
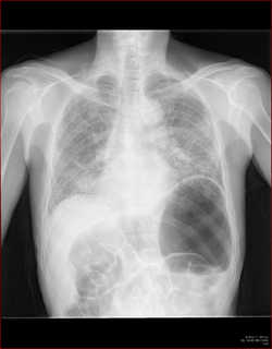
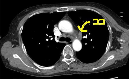
3Dだと、こうなります。

気管狭窄ですね。こういう所見もレントゲンで捉えることができるのです。
レントゲンに含まれているたくさんの情報を、最大限利用したいものですね。