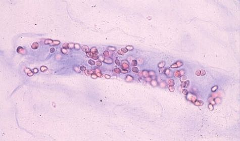
赤血球円柱
無染色
円柱基質内に3個以上の赤血球が含有したものを赤血球円柱と呼ぶ。
無染色
上の写真の赤血球円柱をステルンハイマー変法染色で染色したもの(同一円柱)