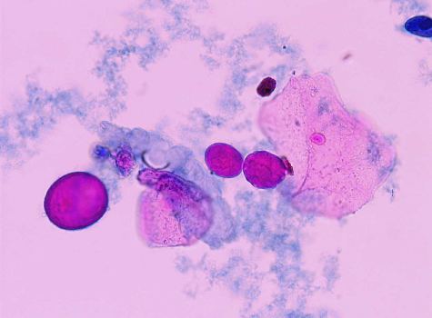
扁平上皮細胞 表層、中・深層
思春期、閉経期、授乳期のエストロゲン分泌が少ない場合、深層型が多く見られる。
由来:
外尿道口付近の粘膜 女性-外陰部からの混入
特徴:
表層型60〜100μm 細胞は薄く表面構造は均質でシワ状を呈する灰〜灰白色
中層〜深層型20〜70μm 円形・楕円形 細胞質辺縁は   丸みを帯び、表面構造は均質