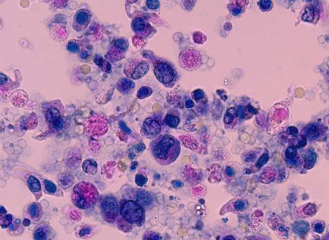
移行上皮癌細胞

由来:
膀胱の移行上皮細胞に発生した癌細胞
特徴:
白血球の3から5倍大でN/C比大
核縁の肥厚と核の不整が認められる。核小体が認められクロマチン増量