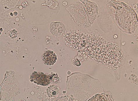
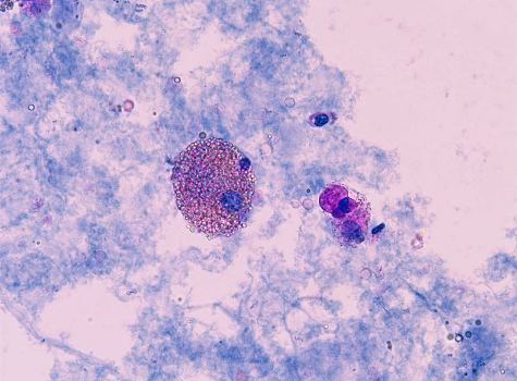
卵円形脂肪体

由来:
尿細管上皮細胞、大食細胞が脂肪変性した細胞

特徴:
ネフローゼ症候群に高率に認められる
大きさ10〜40μm、形は円形、類円形
脂肪顆粒を多数含有する