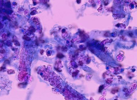
尿細管上皮細胞 鋸歯型

糸球体腎炎、ネフローゼ症候群、ループス腎炎など腎実質疾患や腎虚血(高度の脱水etc)、薬物による腎障害時に見られる。
尿細管上皮細胞の多くは鋸歯型である。

近位尿細管〜集合管上皮
辺縁構造は鋸歯状、細胞質顆粒状、核はやや偏在

由来:
尿細管内腔を覆う上皮細胞
近位尿細管から集合管 特に近位尿細管
特徴:
細胞辺縁はギザギザした鋸歯状 核は濃縮状で小さく   青色で、細胞質は赤紫色