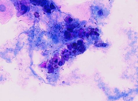
尿細管上皮細胞 角柱型
遠位〜集合管の尿細管上皮は立体感のある角柱型や角錐台型を示すものが多い。
由来:
尿細管障害に出現 遠位尿細管や集合管に見られる
特徴:
立体型の角柱や角錐状を呈する
遠位尿細管や集合管を構成する細胞形態に酷似している