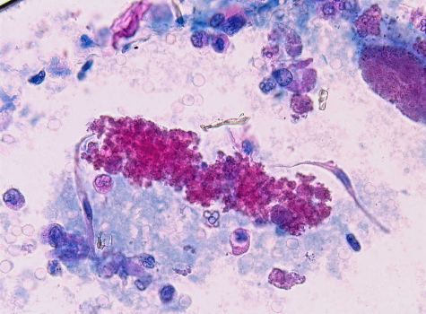
尿細管上皮細胞 繊維型

尿細管上皮の出現パターンは孤立散在性が多いが特殊型の円形、線維型、オタマジャクシ・ヘビ型は、しばしば集塊を形成する。
特殊型は抗癌剤治療に伴う慢性腎不全や重篤な尿細管障害尿から高頻度に見られる。

塩類円柱に付着してみられること多い
細胞質は薄く、均質状扁平上皮癌との鑑別は核が小さくクロマチン増加の無いこと
由来:
尿細管障害に出現
特徴:
扁平上皮癌細胞との鑑別が必要 核は膨化状で丸く、クロマチンの増量はない
円柱に付着している場合がある