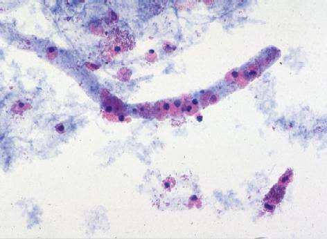
尿細管上皮細胞

ステルンハイマー変法染色円柱内の上皮細胞と同じ細胞が円柱外に散見される。

無染色
ステルンハイマー変法染色