市中肺炎
TOP>呼吸器>市中肺炎

市中肺炎

▼肺炎球菌

市中肺炎を起こす最も一般的な細菌が肺炎球菌です。
典型的には、ひとつの肺葉全体を占める大葉性肺炎を起こします。
大葉性肺炎を引き起こすのは、肺炎球菌、レジオネラ、クレブシエラです(国家試験的に重要?)。
痰(たん)が鉄さび色と表現されるように、血液の混じった赤褐色をしています。

かぜかな?と思っていて、発熱、悪寒、息切れ、呼吸時の胸痛など症状が重症化した場合、 鉄さび状の痰もあれば、肺炎球菌による肺炎で間違いないでしょう。

肺炎球菌は、肺炎と名がついていますが、中耳炎の原因菌としても有名です。
また、血中へと侵入して敗血症を引き起こしたり、 髄膜炎を引き起こすこともあるので、注意が必要です。
現在、肺炎球菌のワクチンがあるので、高齢者などでは、予防のために ワクチンを接種することが望まれます。

肺炎球菌ワクチンQ&A(詳細解説)

治療に関しても、最近はペニシリン耐性肺炎球菌(PRSP)となっていることも多く、問題となっています。

・ペニシリン耐性肺炎球菌感染症

▼インフルエンザ菌

市中感染肺炎で肺炎球菌についで見られます。
インフルエンザ菌は特に小児では、髄膜炎などを引き起こすこともあります。
肺炎球菌と同様に、中耳炎の原因菌としても有名です。

慢性気管支炎や気管支拡張症などの慢性呼吸疾患がある場合に、急性憎悪の 原因菌となることがあります。

▼レジオネラ菌

レジオネラ症は、肺炎全体の数%ですが、非常に重篤化するので注意が必要です。
市中肺炎に区分しましたが、健康な成人が発症することはまれなようです。

レジオネラ菌は水の中で生息しており、温泉や24時間風呂から高頻度に検出されます。

発病3日以内に悪寒を伴って高熱を発し、咳、喀痰などを伴い、呼吸不全となります。

レジオネラは、初期では、胸部X線で異常所見に乏しいこと、グラム陰性菌ですが染色が難しく 顕微鏡で見つからないこと、などから診断が難しいことがあります。

現在は、尿検査でレジオネラ抗原を検出することも可能ですが、すべての血清型をカバーしていないので、 検査が陰性となることがあります。

また、βラクタム系が効果がないので、レジオネラを疑った場合には、マクロライド系、リファンピシン、ニューキノロンを投与します。
重症例では、ステロイドを投与することもあるようです。

▼マイコプラズマ

比較的若年者によくみられ、学校などで 集団発生することもあります。 マイコプラズマ肺炎は、非定型肺炎とも呼ばれます。
レントゲン上の派手な影の割には、全身状態がそんなに悪くなく、また、 乾いた咳(乾性咳嗽)であること、βラクタム系抗生剤が無効など、通常の肺炎とは異なるためです。
乾性咳嗽となるのは、病変が肺胞というよりも、間質が中心であるためです。

軽症であることが多く、ほとんどの人は治療をせずに回復しますが、重症化する場合もあります。

治療は、マクロライド系の抗生剤がよく効くことが多いようです。

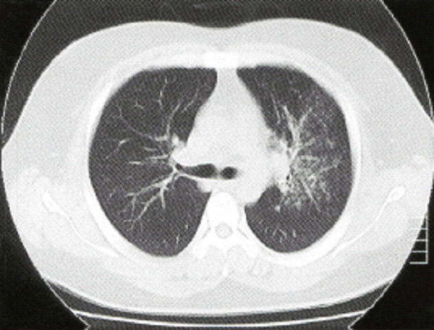
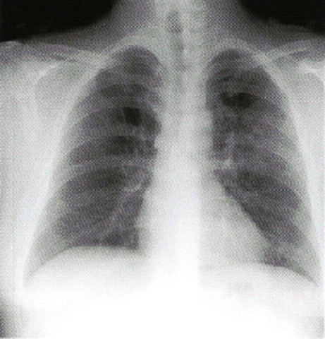
21歳の男性。
発熱と強い咳嗽とを主訴に来院。
生来健康であったが、1週前から出現した症状が近医での投薬にもかかわらず持続している。
喀痰は少ない。
既往歴に特記すべきことはないが、家族に同様の症状を示すものがいる。
意識は清明。
身長180cm、体重70kg。体温39.0℃。脈拍64/分、整。血圧128/68mmHg。
心雑音はない。左背部に軽度のcoarse cracklesを聴取する。
尿所見:蛋白(-)、糖(-)、潜血(-)。
血液所見:赤沈26mm/1時間、赤血球510万、Hb13.4g/dl、白血球8,900、血小板22万。

血清生化学所見:AST42IU/l、ALT35IU/l。CRP6.8mg/dl。
胸部エックス線写真と胸部単純CTを示す。

マイコプラズマ肺炎 マイコプラズマ肺炎CT
抗菌薬として適切なのはどれか。2つ選べ。
a セフェム系
b ペニシリン系
c マクロライド系
d テトラサイクリン系
e アミノグリコシド系

健康な成年に生じた発熱、強い咳嗽、喀痰は少ないことから、マイコプラズマ肺炎が疑われます。
治療を受けるも症状が持続という病歴から通常の細菌性肺炎よりも非定型肺炎が考えられ、 体温39.0℃にも関わらず脈拍は64/分と比較的徐脈であり、CRP6.8mg/dlと炎症所見を認めるが、 白血球はそれほど上昇していないこともマイコに矛盾しない所見です。
また、画像、特にCTでは気管支壁の肥厚がみられ、気管支病変が考えられます。
中枢側優位の所見で、小葉中心性の陰影かどうかははっきりしませんが、マイコで矛盾ない所見です。

したがって、治療としては、cのマクロライド系とdのテトラサイクリン系になります。

▼クラミジア

クラミジアというと、性感染症(STD)をイメージします。クラミジア性感染症は、 Chlamydia trachomatisという菌によります。
trachomatisによる肺炎は、感染母体からの新生児、乳児期に発症します。
成人では、trachomatisで肺炎になることはほとんどないようです。

クラミジアには、性感染症を引き起こすtrachomatisの他に、Chlamydia pneumoniaeとChlamydia psittaciが あり、これらが成人で肺炎を引き起こします。

C. pneumoniaeは市中肺炎の約1 割に関与するとされ、高齢者にも多い疾患です。症状としては、咳、喀痰で、38℃以上の 高熱となることはまれなようです。

C. psittaciによる肺炎はオウム病といわれ、その名のとおり、鳥から人間に感染します。
したがって、鳥を飼っている人などがかかります。
突然の高熱で発症し、乾性咳嗽は必発、時に粘液性痰を伴います。重症例では呼吸困難、 意識障害をきたし、まれに死亡例もあります。
治療は、テトラサイクリン系が使われますが、妊婦や小児では、副作用(催奇形性)があるため、 マクロライド系薬が使われます。

▼ウィルス性肺炎

乳幼児では、細気管支に炎症を生じるRSウィルス、乳幼児期では、パラインフルエンザウィルス、 学童期以降では、インフルエンザウィルスが重要です。
免疫力が低下している状態では、麻疹ウィルス、サイトメガロウィルスなどに感染します。

ウィルス性肺炎では、痰を伴わない咳が出ることが多いです。他に、頭痛、発熱、筋肉痛などの症状がみられます。

ウイルス性肺炎の後で二次的な細菌性肺炎を発症した場合には、抗生物質による治療が必要になります。

治療薬が、ウィルスによって異なるため、原因ウィルスの検出は重要です。インフルエンザ、RSウィルスでは 抗原検出キットがあり、比較的容易に検出することができます。

治療は、インフルエンザでは、アマンタジン、リマンタジン、オセルタミビルなど
RSウイルスでは、リバビリン、
水痘ウイルスや単純ヘルペスウイルスでは、アシクロビル、
サイトメガロウイルスでは、ガンシクロビルが使われます。