TOP>肝・胆・膵>膵仮性嚢胞、嚢胞性膵疾患
膵仮性嚢胞、嚢胞性膵疾患
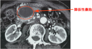
▼膵仮性嚢胞
膵炎や外傷により生じます。
仮性嚢胞なので上皮はなく結合組織で覆われています。
内容物は膵液(膵酵素)、滲出液、粘液、血液などの混合物です。
<診断>
超音波やCTで嚢胞を確認できます。

(98回医師国家試験A30)
<治療>
自然治癒する場合もあります。
内科的には、内視鏡を用いて穿刺し、内容物を吸引します。
内科的治療で再発する場合などは、外科的治療を行います。膵仮性嚢胞は、
周辺組織との癒着が強く完全摘出することが難しいため、
摘出ではなく消化管との内瘻造設術を行います。
▼漿液性嚢胞腺腫
漿液性嚢胞腺腫は女性に多く膵体尾部に好発する多房性腫瘍で、多くは良性腫瘍です。
粘液性嚢胞腺腫と比較して被膜が薄いことが特徴です。
多くは良性なので特別な治療は必要なく経過観察とします。
▼粘液性嚢胞腺腫
漿液性嚢胞腺腫と同じく、女性に多く膵体尾部に好発する腫瘍で、多房性のこともあれば単房性のことも
あります。
漿液性嚢胞腺腫と比較して被膜が厚いことが特徴です。そのため、CT画像は夏みかん様と表現されます。
増殖して大きくなるので腹痛や腹部膨満感を呈します。
しばしば悪性化するので原則として手術による切除を行います。
▼膵管内乳頭粘液性腫瘍(IPMN)
漿液性嚢胞腺腫と粘液性嚢胞腺腫が女性で膵体尾部に好発するのに対して、膵管内乳頭粘液性腫瘍は
高齢男性に多く見られ、膵頭部に好発します。
組織像は良性から悪性まで様々です。
膵管内に粘液が充満するため、膵管がブドウの房のように拡張するのが特徴的です。
良悪性の診断のために膵液細胞診が行われますが細胞診良性でも悪性を完全否定できるわけではありません。
治療は、腫瘍が小さい場合は経過観察することもありますが、基本的には手術を行います。